コラムColumn

健康診断で胸のレントゲンをとることはよくありますね。ではお腹のレントゲンはどうでしょう。
腹部症状で受診した際に、お腹のレントゲン検査をされた方もいるのではないでしょうか。
今回、お腹のレントゲンでなにが分かるかについて説明してみたいと思います。
まず、お腹のレントゲンを撮る時の症状としては、腹痛、お腹が張る、背部痛、嘔気、嘔吐などでしょう。
レントゲンを撮ることで得られる情報としては以下のようなものがあります。
・腎臓、尿管、膀胱、胆嚢、胆管などの石灰化を伴う結石の存在
・腸閉塞で拡張した腸管ガス像
・便秘によるガス像の増加
・消化管穿孔による腸管外への空気の漏れ
・腹水の存在(多量の場合)
・腹部の異物の存在
・腰椎や骨盤の骨折 などです。

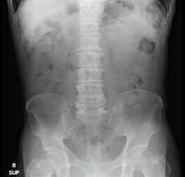
上は正常の腹部レントゲン写真ですが、白くはっきり写っているのは腰椎や骨盤、大腿骨といった骨で、黒く抜けているのは、腸管のガス像です。その他、肝臓、脾臓、腎臓、膀胱といった内部臓器も淡く写っていますが、なかなか分かりにくいですよね。
レントゲンというのは、基本的に骨・水・脂肪・空気・石灰化・金属(治療した人工物)といった大きく6種類のものを比較し、これらを淡い影の変化で見分けているのです。レントゲンで便が多いですねなどと言われたことある方がいるかもしれませんが、実際には便そのものが見えているわけではありません。あくまでも脂肪や水成分の組織に囲まれて明瞭となった腸管ガス像をみて、その存在を推測しているだけなのです。
当院のようにCT検査が行える施設では、お腹のレントゲンを撮る機会は減っています。得られる情報が限定的であり、治療方針を決定するのに不十分なことが多いからです。もちろん、費用や被爆の面から何でもCT検査をするのがいいことではありません。例えば入れ歯などの異物誤飲の確認やバリウム検査後のバリウム残存の有無など、簡単な情報を知りたい場合にはレントゲンで十分です。
何にでもというわけでなく、求める情報の程度によっては有用な検査というぐらいに思っておいてもらうといいかもしれません。







